[ФОТО/ВИДЕО] Маж направил рендгенска снимка на забите, па ги шокирал стоматолозите: Глетката го соборила Гинисовиот рекорд

Точка

19/03/2026

12:20

1.812

Големина на фонт

а а а

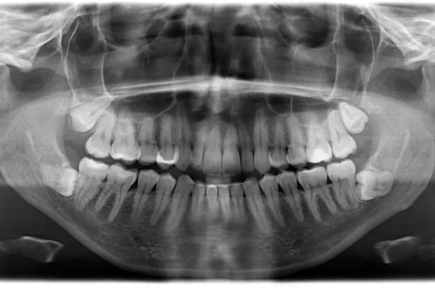
Прахтаб Мунианди (33) од Малезија изјавил за Гинисовата книга на рекорди дека пред неколку години прв пат забележал нешто невообичаено во врска со неговите заби.

„Прв пат го забележав тоа во 2021 година за време на семеен собир, кога на семејството му реков дека изгледа како да ми растат дополнителни заби“, рекол Мунианди.

„Тогаш ги изборивме заедно и откривме дека имав 38 заби“, додал тој.

Меѓутоа подоцна рендгенската снимка на забите покажала дека постоеле уште четири заби што требало да изникнат.


„На почетокот од 2023 година сфатив дека имам вкупно 42 заби. За среќа повеќето заби пораснале право и без никакви компликации“, раскажал Мунианди.

Тој истакнал дека дополнителните заби не му предизвикуваат никави проблеми и дека повеќето луѓе не ги забележуваат додека тој не им го спомене тоа.


„Луѓето вообичаено се многу изненадени и на почетокот им е тешко да поверуваат, особено кога ќе дознаат дека има 10 заби повеќе од една просечна личност, која обично има 32 заби“, додал Мунианди.

Исто така тој споделил дека стоматолозите кои ги прегледувале неговите заби за Гинисовата книга на рекорди (Guinness World Records) му соопштиле уште една изненадувачка вест – има уште два заби кои допрва треба да изникнат. Тој официјално ја добил титулата за најголем број заби кај мажи, додека женската верзија на рекордот ја држи Калпана Балан од Индија која има 38 заби.


„Чувството е неверојатно и прилично посебно знаејќи дека го држам светскиот рекорд за најголем број заби“, рекол Мунианди.